Il verme che infesta il cervello

Discovermagazine ci presenta un’infestazione di vermi parassiti con i quali nessuno avrebbe voglia di avere a che fare.
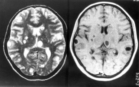
LA TENIA – Theodore Nash, impiegato nella clinica di Bethesda, nel Maryland ha avuto a che fare con persone arrivate nella sua struttura con i sintomi più disparati: chi è finito in coma, chi è rimasto paralizzato dalla vita in giù, chi non riusciva più a camminae dritto, chi aveva perso la vista, chi aveva la scatola cranica piena di liquido. Queste persone avevano nel cervello delle bolle contenenti la tenia (Taenia solium), il verme solitario. In genere questi si trovano nell’intestino ma a volte può capitare che la larva si depositi altrove, come nel cervello ad esempio, causando una malattia conosciuta con il nome di neurocisticercosi.
NEUROCISTICERCOSI – Negli Usa secondo stime non ufficiali i malati dovebbero essere circa 2000, mentre considerando la popolazione mondiale il numero cresce a dismisura. Secondo Nash “cinque milioni di casi al mondo di epilessia sono dati dalla neurocisticercosi”. A volte questa malattia viene confusa con un disordine cerebrale generico quando poi in realtà basterebbe una semplice radiografia che individui le cisti in questione.
COME ARRIVA AL CERVELLO? – Secondo una serie di esami condotti da Nash e dalla sua équipe è stato dimostrato che in America Latina le persone affette da neurocisticercosi sono comprese in una cifra compresa tra 11 e 29 milioni di persone. Ogni verme produce nel suo ciclo vitale qualcosa come 50 mila uova, custodite nelle feci dell’infettato. Ma questo accade in casi normali, ovvero quando il parassita è ancorato all’intestino. A volte però la larva può entrare nel flusso sanguigno dell’individuo finendo in posti strani come il cervello, dove si fermano e creano la cisti, che può portare alla lunga alla morte a causa dell’auomento delle sue dimensioni.
COME EVITARE – Il sistema immunitario spesso si accorge che qualcosa non funziona e fa di tutto per scongiurare il pericolo, ma il danno dovuto alla cisti resta e anzi spesso perdura per anni, anche con la morte del parassita. Per evitare questo pericolo il consiglio è sempre uno: visto che questo parassita arriva dalla carne di maiale, questa andrebbe sempre cotta a puntino. Se invece doveste subire l’infezione verreste curati con farmaci che limitano l’azione del sistema immunitario, in quanto questo reagisce con estrema aggressività risultando altrettanto pericoloso. Con l’aiuto degli steroidi poi il problema verrebbe risolto, ma perché rischiare?
LEGGI ANCHE:
- Lo zucchero della Coca cola danneggia la memoria
- Il cancro che si “cura” con il bicarbonato
- “Ho 9 anni e voglio morire” – Foto