La bufala della mascherine che provocano la candida polmonare
Circolano sui social alcune teorie che sono state già smentite dai medici

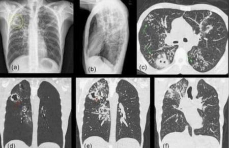
Una delle tante stravaganti teorie che viaggia veloce sui social (senza esser confermata dai medici che, oltretutto, la smentiscono) è quella relativa alla candida polmonare provocata dall’uso delle mascherine. Tra Facebook, Twitter e Whatsapp negli ultimi giorni circola una foto che mostra gli effetti di questa infezioni a livello polmonare. La patologia esiste, ma non c’entra nulla con l’utilizzo dei dispositivi di protezione. Si tratta di un fungo che, per definizione, arriva da fattori esterni.
LEGGI ANCHE > Ci mancava solo la bufale del tampone che «rompe la barriera sanguigna ematoencefalica del cervello»
«Osservate bene, si chiama candida polmonare. È quello che sta succedendo e rilevando dovuta all’eccessivo uso delle mascherine. Ci stanno ammalando un po’ alla volta quando il vaccino sarà obbligatorio molte persone moriranno», si legge in uno dei tanti posti complottisti che circolano in rete. Altri, invece, la descrivono così.
Candida polmonare e mascherine: la bufala
Come riporta Butac, Reuters aveva già smentito questa teoria che circolava fin dal mese di luglio. La verità sulla (non) correlazione tra uso delle mascherine e candida polmonare la fornisce lo pneumologo Thomas Nash: «L’unica cosa che colpisce la maschera è quello che espiriamo noi, ovvero persone che sono in salute non espirano funghi (che causino la candida polmonare)». E invece, come comprensibile facendo una rapidissima ricerca su Google, la candida polmonare è un’infezione micotica provocata da fattori esterni (quindi i famosi funghi). Ricordiamo, inoltre, che se fosse veritiera questa fake news, i medici e chirurghi ‘costretti’ da sempre a indossare la mascherina per molte ore consecutive sarebbero condannati a questo tipo di infezione.
Nessuna correlazione
La narrazione anti-mascherine, dunque, ne inventa ogni giorno una più del diavolo. Basti pensare che su alcuni profili social che hanno condiviso questa bufala (in Italia) compaiono anche clamorose fake news. Come questa.

Insomma, di tutto un po’. Come nel solito malcostume complottista che circola sui social e li infetta con bufale create ad hoc e su misura per solleticare gli istinti umani.
(foto di copertina: da Facebook)